Tecnologia 3D

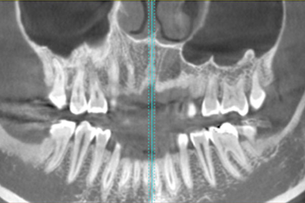
La TAC Cone Beam è una tecnologia che si presta a diversi utilizzi. Il suo sviluppo ha favorito anche il perfezionamento dell’implantologia computerguidata. L’esame dura pochi secondi, richiede l’impiego di basse dosi di raggi X e si effettua in posizione eretta o seduti.

In cosa consiste

Nei Centri Dentali Zanardi per approfondire lo studio del massiccio facciale e delle arcate dentarie in ottica di programmazione di interventi di implantologia, si ricorre alla Tecnologia 3D.
Questa tecnica di Tomografia Computerizzata, con tecnologia “cone beam”, utilizza un fascio di raggi X di forma conica attraverso il quale si indaga un ampio volume con notevole riduzione di radiazioni rispetto ai sistemi TAC convenzionali.


Oltre che in campo implantologico per valutare le caratteristiche morfo-strutturali, l’altezza e lo spessore dell’osso alveolare nelle sedi di interesse implantare, la Tecnologia 3D è molto utilizzata anche in chirurgia orale e maxillo-facciale, nonché in endodonzia-periodonzia.


L’immagine più dettagliata permette di effettuare diagnosi rapide e precise, raggiungendo risultati di
maggior successo. Attraverso la Tecnologia 3D si possono studiare le articolazioni temporo-mandibolari in modalità tridimensionale, mentre in ortodonzia le informazioni e i dettagli anatomici ottenuti sono maggiori rispetto a un normale telecranio.


Infine, la tecnologia può essere utile anche in campo otorinolaringoiatrico, per lo studio del massiccio facciale ed in particolare delle fosse nasali e dei seni paranasali dei bambini.

Prenota un appuntamento

Da lunedi al Venerdi
dalle ore 9:00 alle 13:00
e dalle 14.00 alle 19.00
Sabato solo su appuntamento

Fissa un appuntamento

Il nostro staff ti risponderà presto per verificare l’effettiva disponibilità

Seleziona una delle nostre sedi: